Kahnbeinbruch
Definition
Das Kahnbein (Os scaphoideum) befindet sich zwischen Speiche und Daumen in der Handwurzel. Wegen seiner schrägen Lage und seiner besonderen Form wirken bei einem Sturz auf die Hand hohe Kräfte auf das Kahnbein. Bei einem Kahnbeinbruch ist wegen der prekären Durchblutung dieses Handwurzelknochens die Knochenheilung sehr langsam, manchmal bleibt sie aus. Im Vergleich zu Brüchen anderer Knochen besteht somit am Kahnbein je nach Lage und Verlauf des Bruchs ein erhöhtes Risiko, dass dieser – trotz korrekter Behandlung – nicht regelrecht verheilt. Besonders groß ist diese Gefahr, wenn der Kahnbeinbruch nicht erkannt und/oder unzureichend behandelt wird. Bleibt die Knochenheilung aus, spricht man von einer Falschgelenkbildung (= Pseudarthrose). Langfristig führt eine Kahnbeinpseudarthrose zu einer gestörten Handgelenkmechanik und nachfolgend zu einem frühzeitigen Gelenkverschleiß (Arthrose). Deshalb ist eine exakte Diagnostik und konsequente Therapie des Kahnbeinbruchs besonders wichtig.
Entstehung
Der Bruch des Kahnbeins wird typischerweise beim Sturz auf die ausgestreckte Hand beobachtet. Zu erwähnende Unfallmechanismen sind Stürze beim Inline-Skaten, Snowboarden oder beim Mountainbiken. Betroffen sind meist Männer im Alter zwischen 20 – 40 Jahren.
Symptomatik
Der Bruch des Kahnbeins macht sich durch Schmerzen an der Speichenseite des Handgelenks (Tabatière), durch eine Handgelenkschwellung und einen Belastungs- bzw. Stauchungsschmerz bemerkbar. Die Symptome können allerdings schwach ausgeprägt sein, sodass unter Umständen kein Arztbesuch erfolgt und der Kahnbeinbruch nicht diagnostiziert wird.
Diagnostik
Die Diagnose eines Kahnbeinbruches ist schwierig und erfordert neben einer sorgfältigen klinischen Untersuchung u. U. mehrere Röntgenuntersuchungen. Wegen der gekippten Lage des Kahnbeins in der Handwurzel und seiner gekrümmten Form kommt das Kahnbein in den normalen Röntgenaufnahmen nur ungenügend zur Darstellung. Deshalb kann ein Kahnbeinbruch nicht immer durch Röntgen allein sicher festgestellt werden, v.a. wenn der Bruch unverschoben ist. Im Zweifelsfall kann die verletzte Hand nach 5-10 Tagen nochmals geröntgt werden. Oft lässt sich dann aufgrund der zwischenzeitlich eingetretenen Resorptionsvorgänge der Bruch erkennen.
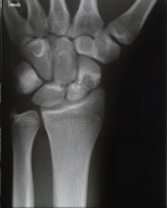
Röntgenbilder in normaler Aufnahmetechnik
Spezielle Röntgenaufnahme zur besseren Darstellung des Kahnbeins
Bestehen weiter Zweifel, kann auch eine Computertomographie angefertigt werden.
Eine Computertomographie erlaubt eine überlagerungsfreie Darstellung des Kahnbeines und damit zu jedem Zeitpunkt eine sichere Beurteilung, sofern sie in Längsrichtung des Kahnbeines durchgeführt wird. Alternativ kann auch eine Magnetresonanztomographie angefertigt werden, hierüber entscheidet der Arzt.
Behandlung
Ist ein Kahnbeinbruch gesichert, hängt die weitere Behandlung vom genauen Verlauf des Bruches ab. Grundsätzlich stehen eine Operation oder die konservative Therapie mit Gipsruhigstellung zur Diskussion. Welche Art der Behandlung bei Ihnen in Frage kommt, muss in einem individuellen Gespräch mit dem Arzt festgelegt werden.
Operative Therapie:
Bei der Operation kann der Hautschnitt auf der Beuge- oder Streckseite des Handgelenks erforderlich sein. Die Bruchenden werden unter Sicht aufeinander gestellt. Die Knochenstabilisierung erfolgt mit einer Titanschraube, die in das Kahnbein vollständig versenkt werden kann. In seltenen Fällen, bei eingestauchten Brüchen, muss Knochenmaterial, z.B. aus der Speiche, in den Bruchspalt eingebracht werden. Anschließend ist eine Gipsruhigstellung ist für ca. 2-6 Wochen zu empfehlen. Die Entfernung der Schraube ist nur in Ausnahmefällen nötig. Neben regelmäßigen Kontrollen der Wund- und Hautverhältnisse sind zur Überwachung der Bruchheilung Röntgenkontrollen anzufertigen, gegebenenfalls auch eine Computertomographie.

Versorgung eines Kahnbeinbruches mit einer Titanschraube, die im Knochen versenkt wird.

Ausheilung des Bruches
Konservative Therapie:
Bei stabilen Kahnbeinbrüchen – dies sind Brüche ohne Verschiebungen der Bruchstücke bzw. ohne Trümmerzonen (Computertomographie erforderlich) – kann eine konservative Therapie erfolgen. Der Bruch wird in einem Unterarmgipsverband mit Einschluss des Handgelenkes und des Daumengrundgliedes für 6 Wochen ruhiggestellt.

Will man eine so lange Ruhigstellung des Handgelenkes umgehen, kann auch der stabile Kahnbeinbruch operiert werden. Durch einen relativ kleinen Hautschnitt wird der Bruch unter Einbringung einer Titanschraube „perkutan“ stabilisiert. Eine Gipsruhigstellung ist dann in der Regel nur kurzfristig nötig. Das Handgelenk sollte bei diesem Verfahren bis zu 6 Wochen geschont werden. Eine Entfernung der Schraube ist nur in Ausnahmefällen nötig.
Ergebnisse
Im Idealfall kommt es zur Ausheilung des Bruches und das Handgelenk ist wieder frei beweglich und belastbar. Durch die lange Ruhigstellung kann jedoch eine Bewegungseinschränkung verbleiben.
Komplikationen
Die häufigste Schwierigkeit beim Kahnbeinbruch ist die Pseudarthrose, d.h. dass die beiden Kahnbeinstücke nicht mehr zusammen wachsen, auch Falschgelenkbildung genannt. Weiteres s.u.
Kahnbeinpseudarthrose
Definition
Wenn das Kahnbein (Os skaphoideum) nach einem Knochenbruch nicht richtig verheilt, so nennt man dies Pseudarthrose. Langfristig führt eine Kahnbeinpseudarthrose zu einer gestörten Handgelenkmechanik mit Verkantung der Gelenkflächen. Nachfolgend kommt es zu einem frühzeitigen Gelenkverschleiß (Arthrose) im Handgelenk, später auch zwischen den Handwurzelknochen.
Entstehung
1. Ein Kahnbeinbruch kann unter Umständen relativ wenig Schmerzen verursachen, so dass kein Arzt aufgesucht wird und der Bruch nicht behandelt wird.
2. Wegen der gekippten Lage des Kahnbeins in der Handwurzel und seiner gekrümmten Form kommt das Kahnbein in den konventionellen Röntgenaufnahmen nur unvollständig einsehbar zur Darstellung. Deshalb kann ein Kahnbeinbruch nicht immer durch Röntgen allein sicher dargestellt werden, v.a. wenn der Bruch unverschoben ist. In solchen Fällen kann ein Bruch übersehen werden.
3. Je nach Lage und Verlauf des Kahnbeinbruchs kann es trotz Gipsruhigstellung zur Pseudarthrose kommen.
Symptomatik
Beschwerden werden meist im Bereich des speichenseitigen Handgelenks angegeben, wobei eine Kahnbeinpseudarthrose auch völlig asymptomatisch sein kann. Im weiteren Verlauf können Bewegungseinschränkung und Kraftminderung auftreten. Oft sieht man streckseitig eine kleine Schwellung über dem Kahnbein.
Diagnostik
Die Diagnose wird anhand von Röntgenaufnahmen mit zusätzlichen Spezialaufnahmen des Kahnbeins gestellt. Eine Pseudarthrose ist deutlicher im Röntgenbild zu erkennen als ein frischer Bruch.
Normale Einstellung (links) und Spezialaufnahme (rechts)
Zur genauen Beurteilung der Bruchstücke und Planung der Operation kann ergänzend eine Computertomographie in Längsrichtung des Kahnbeins durchgeführt werden.
Besteht dringender Verdacht auf eine mangelnde oder fehlende Durchblutung der Bruchstücke ist die Kernspintomographie (MRT) das geeignete Verfahren zur Beurteilung der Durchblutung.
Behandlung
Grundsätzlich sollte eine Kahnbeinpseudarthrose, auch wenn sie keine oder nur geringe Beschwerden macht, operativ stabilisiert werden. Das Ziel der Operation ist die knöcherne Wiedervereinigung der Bruchstücke mit Wiederherstellung der Form des Kahnbeins. Ist bereits eine Arthrose in den angrenzenden Gelenkabschnitten eingetreten, ist dies jedoch nicht mehr sinnvoll.
Zur Darstellung des Kahnbeines ist eine offene Operation notwendig, wobei der Hautschnitt je nach Lage der Pseudarthrose beuge- oder steckseitig gewählt wird. Zunächst wird das Bindegewebe im ehemaligen Bruchspalt entfernt. Der verbleibende, knöcherne Defekt im Kahnbein muss mit einem kleinen Knochenblock von der Beckenschaufel, der mit einer Spezialfräse entnommen wird, aufgefüllt werden. Zusätzlich werden diese drei Knochenstücke dann mit einer speziellen Titanschraube (kanülierte Herbertschraube) fixiert, die zu einer Kompression der Knochenstücke führt und komplett im Knochen versenkt werden kann.
Bei schlechter Durchblutung der Fragmente kann es notwendig sein, ein Knochenstück von der Speiche einschließlich versorgender Arterie in den Kahnbeindefekt zu verpflanzen. Anschließend wird zur Fixierung wieder eine Titanschraube eingebracht, welche vollständig im Knochen versenkt wird.
Nachbehandlung
Die Ruhigstellung erfolgt in einem Unterarmgipsverband mit Einschluß des Daumengrundgelenks zunächst für 6 Wochen. Danach entscheidet eine Röntgenkontrolle ob mit Bewegungsübungen für das Handgelenk begonnen werden kann. Ansonsten wird die Ruhigstellung um 2-4 Wochen verlängert. In der Regel findet sich nach 6-12 Wochen eine knöcherne Durchbauung im Röntgenbild. Zum sicheren Nachweis kann in Zweifelsfällen eine Computertomographie durchgeführt werden.
Ergebnisse
In den meisten Fällen kann auf diese Weise eine Kahnbeinpseudarthrose doch noch zur Ausheilung gebracht werden. Man muss allerdings mit einer verbleibenden Bewegungseinschränkung, verminderten Belastbarkeit und evtl. doch Ausbildung einer vorzeitigen Arthrose im weiteren Leben rechnen.
Komplikationsmöglichkeiten
Die Komplikationsmöglichkeiten sind zahlreich und sollten bei uns in der Praxis besprochen werden. Die schlimmste Komplikationsmöglichkeit ist ein erneutes Ausbleiben der Heilung.